guarda sul mio canale YouTube
alcuni laparoceli trattati
                    LAPAROCELE W3
                    LAPAROCELE W3
                    LAPAROCELE W3 + ADDOMINOPLASTICA
                    LAPAROCELE W3
                    LAPAROCELE W3 + ADDOMINOPLASTICA
                    LAPAROCELE W3 CON PERDITA DI DOMICILIO
                    LAPAROCELE W3 + ADDOMINOPLASTICA
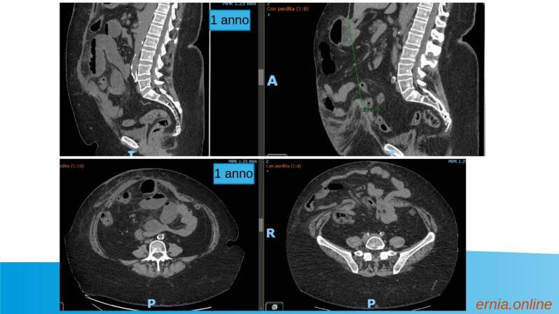
                    LAPAROCELE W3, controllo a 1 anno
                    LAPAROCELE W3 , controllo a 1 anno TAC
Crea il tuo sito web con Webador